Alterações hematológicas e bioquímicas na dengue
A dengue é uma arbovirose de grande impacto em países tropicais como o Brasil, onde fatores ambientais favorecem a proliferação do Aedes aegypti. Como o vírus possui quatro sorotipos e circula amplamente no país, os casos podem variar desde quadros leves até formas graves, com risco de hemorragias, bem como choque. Por isso, a vigilância dos serviços de saúde e o diagnóstico rápido são essenciais. Dessa forma, reconhecer os padrões laboratoriais se torna indispensável para decisões clínicas ágeis e para a redução de complicações e mortalidade.

Alterações no Hemograma na Dengue
- Leucopenia
A leucopenia está entre as alterações mais comuns e surge principalmente com neutropenia, já que o vírus compromete a produção e a maturação dos granulócitos na medula óssea. Em muitos casos, aparece logo nos primeiros dias de febre. - Presença de linfócitos atípicos
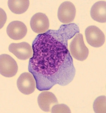
A presença de linfócitos atípicos reflete a resposta imune ao vírus, além de poder auxiliar no diagnóstico diferencial com outras viroses. - Trombocitopenia
A trombocitopenia costuma ser moderada, com plaquetas frequentemente abaixo de 100.000/µL, piorando entre o 3º e o 7º dia de doença. Esse achado é crucial para estimar o risco de formas graves e orientar a conduta clínica. - Hematócrito elevado
O hematócrito elevado resulta da hemoconcentração causada pelo extravasamento plasmático e é um marcador importante de risco para evolução grave, inclusive choque.

(LINFÓCITO REATIVO)
Alterações Bioquímicas na Dengue
- Aumento das transaminases (TGO/TGP)
A lesão hepática induzida pelo vírus leva à elevação das transaminases, geralmente com TGP maior que TGO. Esse achado aparece tanto em casos clássicos quanto nos graves. - Hipoalbuminemia
O extravasamento plasmático reduz os níveis de albumina, sobretudo em quadros graves, funcionando como indicador de aumento da permeabilidade capilar. - Alterações no coagulograma
Podem ocorrer consumo de fatores de coagulação, prolongamento do TP e TTPa e queda do fibrinogênio, especialmente quando há risco de sangramento ou progressão para formas graves. - Aumento de bilirrubinas
Embora menos frequente, a disfunção hepática pode elevar a bilirrubina total e direta. - Elevação de creatinina e ureia
A hipovolemia e a evolução para choque comprometem a função renal, elevando marcadores como creatinina e ureia. - Distúrbios eletrolíticos
A hiponatremia é relativamente comum e está associada ao extravasamento plasmático, à hemodiluição, bem como à resposta inflamatória sistêmica.
Conclusão
As alterações hematológicas e bioquímicas na dengue são fundamentais para o diagnóstico, o monitoramento e a definição da conduta clínica. Embora não substituam os testes confirmatórios, refletem com precisão a dinâmica da infecção e permitem identificar precocemente sinais de gravidade, como hemoconcentração, queda importante das plaquetas e alterações hepáticas. Assim, integrar achados clínicos, laboratoriais e epidemiológicos é essencial para evitar complicações e garantir uma assistência mais segura ao paciente, especialmente em períodos de alta transmissão.
Pós-Graduação em Bioquímica Clínica Avançada: Explore novos horizontes na sua carreira
Se você é um profissional dedicado na área da saúde em busca de aprimoramento e deseja desenvolver habilidades especializadas, senso crítico e expertise em Bioquímica Clínica, apresentamos a nossa Pós-Graduação como a escolha ideal para impulsionar sua carreira.
Desenvolvido para capacitar e atualizar profissionais como você, nosso programa altamente especializado oferece conhecimentos avançados que não apenas enriquecerão sua base de habilidades, mas também o destacarão no competitivo cenário profissional.
Oferecemos uma opção conveniente para quem busca uma pós-graduação 100% online e ao vivo, sem comprometer a excelência no ensino.
Nossa metodologia integra teoria e prática da rotina laboratorial, assegurando um aprendizado efetivo e aplicável.
Contamos com um corpo docente altamente qualificado, composto pelos melhores professores do Brasil, verdadeiras referências em suas respectivas áreas de atuação.
No Instituto Nacional de Medicina Laboratorial, nosso compromisso é singular: mais do que apenas transmitir conhecimento, buscamos transformar VOCÊ em uma referência.
Toque no botão abaixo e descubra mais sobre a Pós-Graduação em Bioquímica Clínica Avançada.
Sua jornada de excelência começa aqui.
QUERO CONHECER TODOS OS DETALHES DA PÓS-GRADUAÇÃO
Referências
SOUZA, Beatriz Lima dos Santos; SANTOS, Naagela Ketlin Pires dos; ALMEIDA, Cynthia Layse Ferreira de; SANTANA, Temístocles Italo de. Principais alterações hematológicas e bioquímicas presentes em pacientes coinfectados com COVID-19 e dengue no Brasil. Revista Eletrônica Acervo Saúde, 2023.
OLIVEIRA, Vanessa Alves de. Complicações hematológicas em casos confirmados de dengue no Laboratório do Hospital das Clínicas de Mineiros-Goiás. São José do Rio Preto, SP: Pós-Graduação Lato Sensu da Academia de Ciências e Tecnologia de São José do Rio Preto, Curso de Hematologia Clínica e Banco de Sangue, 08 dez. 2018.
ANÁLISE crítica dos achados hematológicos e sorológicos de pacientes com suspeita de Dengue / Hematological and serological findings of individuals with suspicion of Dengue fever infection. Revista Brasileira de Hematologia e Hemoterapia, v. 30, n. 5, out. 2008.



