Linfoma de Hodgkin
O linfoma de Hodgkin é uma neoplasia do sistema imunológico que acomete os tecidos linfóides e está relacionada à formação de massas tumorais. Trata-se de uma condição relativamente incomum, porém de grande relevância clínica e epidemiológica, especialmente em populações jovens.
Além disso, apresenta uma distribuição etária característica, com picos de incidência em adultos jovens e em indivíduos acima dos 50 anos. Esse padrão reforça a importância da suspeição clínica precoce e da correta investigação diagnóstica.
Aspectos gerais do Linfoma de Hodgkin
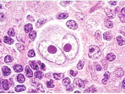
O Linfoma de Hodgkin é caracterizado histopatologicamente pela presença das células de Reed-Sternberg e suas variantes, inseridas em um ambiente inflamatório reacional. Essas células são essenciais para o diagnóstico e distinguem essa neoplasia de outros linfomas.
A Organização Mundial da Saúde classifica a doença em Linfoma de Hodgkin clássico e Linfoma de Hodgkin nodular linfocítico predominante. O tipo clássico é subdividido em esclerose nodular, celularidade mista, rico em linfócitos e depleção linfocitária, sendo a esclerose nodular o subtipo mais frequente.

Células de Reed-Sternberg
Alterações laboratoriais do Linfoma de Hodgkin
Embora o diagnóstico seja histológico, os exames laboratoriais desempenham papel relevante no acompanhamento e na avaliação da atividade da doença. Alterações hematológicas e inflamatórias podem estar presentes desde os estágios iniciais.
Entre os achados mais descritos estão anemia normocítica normocrômica, leucocitose ou linfopenia e elevação da velocidade de sedimentação globular. Esses parâmetros também integram índices prognósticos e auxiliam na estratificação do risco clínico.
Conclusão
O linfoma de Hodgkin é uma neoplasia complexa, com características clínicas, epidemiológicas e patológicas bem definidas. Apesar dos avanços no diagnóstico e no tratamento, sua evolução pode variar conforme o subtipo, o estadiamento e os fatores prognósticos.
Dessa forma, o reconhecimento precoce dos sinais clínicos, aliado à integração entre avaliação clínica, laboratorial e anatomopatológica, é fundamental para a condução adequada do paciente e para a melhoria dos desfechos clínicos.
O próximo passo de todo analista que deseja ter mais segurança na bancada
Todo analista que busca se destacar e se tornar um profissional mais atualizado, capacitado e qualificado para o mercado de trabalho precisa considerar uma pós-graduação.
Um profissional com especialização é valorizado na área laboratorial; esse é um fato inegável.
Unimos o útil ao agradável ao desenvolver uma pós-graduação em Hematologia Laboratorial e Clínica.
Para aqueles que procuram a comodidade de uma pós-graduação 100% online e ao vivo, sem abrir mão da excelência no ensino, temos a solução ideal.
Nossa metodologia combina teoria e prática da rotina laboratorial, garantindo um aprendizado efetivo.
Contamos com um corpo docente altamente qualificado, com os melhores professores do Brasil, referências em suas áreas de atuação.
No Instituto Nacional de Medicina Laboratorial, temos apenas um objetivo: mais do que ensinar, vamos tornar VOCÊ uma referência.
Toque no botão abaixo e conheça a pós-graduação em Hematologia Laboratorial e Clínica.
QUERO CONHECER TODOS OS DETALHES DA PÓS-GRADUAÇÃO
Referências:
BUENO, João Victor de Moraes et al. O diagnóstico precoce em pacientes portadores de linfoma de Hodgkin e não Hodgkin: uma revisão de literatura. Revista Ibero-Americana de Humanidades, Ciências e Educação, São Paulo, v. 9, n. 5, p. 1035–?, maio 2023. ISSN 2675-3375. DOI: 10.51891/rease.v9i5.9846.
MONTEIRO, T. A. F. et al. Linfoma de Hodgkin: aspectos epidemiológicos e subtipos diagnosticados em um hospital de referência no estado do Pará, Brasil. Revista Pan-Amazônica de Saúde, Belém, v. 7, n. 1, p. 27–31, 2016.
PÉREZ-ZÚÑIGA, Juan Manuel et al. Linfoma de Hodgkin. Revista de Hematología, México, v. 20, n. 2, p. 124–130, abr./jun. 2019.



